# Learning

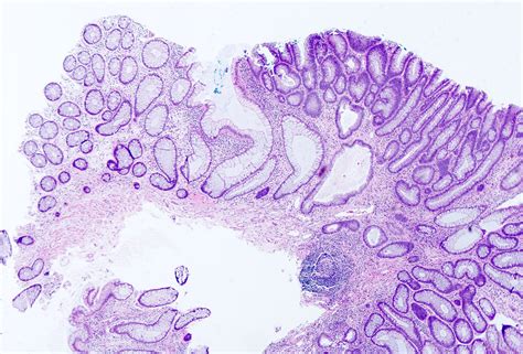
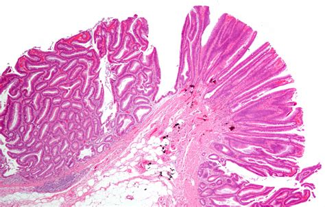
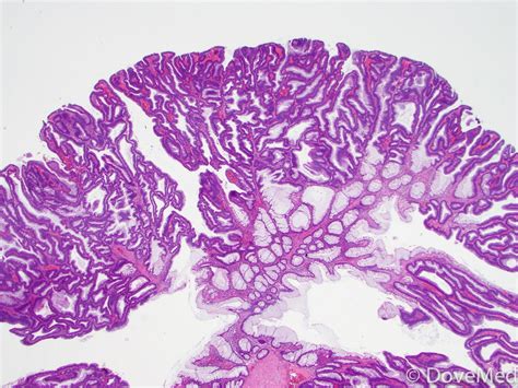
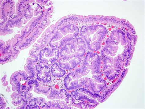
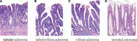
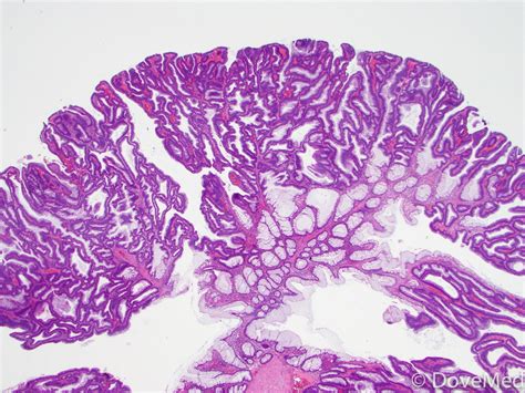
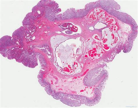
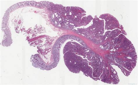
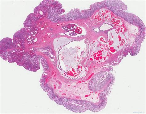
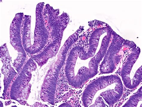
Tubular Adenoma Of Colon

Tubular Adenoma Of Colon

Tubular adenoma of the colon is a common type of polyp found in the colon, also known as the large intestine. These polyps are typically benign, meaning they are not cancerous, but they have the potential to develop into colorectal cancer over time. Understanding the nature, causes, symptoms, diagnosis, and treatment of tubular adenomas is crucial for maintaining colon health and preventing more serious conditions. This comprehensive guide will delve into the details of tubular adenomas, providing valuable insights for both patients and healthcare providers.

What is a Tubular Adenoma of the Colon?

A tubular adenoma is a type of polyp that forms on the inner lining of the colon. These polyps are composed of glandular tissue and are characterized by their tubular shape. Tubular adenomas are the most common type of adenomatous polyps, which are known to have the potential to become malignant if left untreated. Early detection and removal of these polyps are essential for preventing the development of colorectal cancer.

Causes and Risk Factors

The exact causes of tubular adenomas are not fully understood, but several factors are known to increase the risk of developing these polyps. Some of the key risk factors include:

  • Age: The risk of developing tubular adenomas increases with age. Most people diagnosed with these polyps are over the age of 50.
  • Family History: A family history of colorectal cancer or polyps can significantly increase the risk of developing tubular adenomas.
  • Diet: A diet high in red and processed meats and low in fiber has been linked to an increased risk of colorectal polyps.
  • Lifestyle: Sedentary lifestyle, obesity, and smoking are all associated with a higher risk of developing tubular adenomas.
  • Genetic Conditions: Certain genetic conditions, such as familial adenomatous polyposis (FAP) and hereditary nonpolyposis colorectal cancer (HNPCC), increase the risk of developing multiple polyps, including tubular adenomas.

Symptoms of Tubular Adenoma of the Colon

Tubular adenomas often do not cause any symptoms, especially in their early stages. However, as the polyps grow larger, they may cause various symptoms, including:

  • Rectal Bleeding: Blood in the stool or on toilet paper can be a sign of a tubular adenoma.
  • Changes in Bowel Habits: Persistent changes in bowel habits, such as diarrhea or constipation, can indicate the presence of a polyp.
  • Abdominal Pain: Pain or discomfort in the abdomen, particularly on the lower left side, may be a symptom of a tubular adenoma.
  • Unexplained Weight Loss: Significant weight loss without a clear cause can sometimes be associated with colorectal polyps.

It is important to note that these symptoms can also be caused by other conditions, so it is essential to consult a healthcare provider for an accurate diagnosis.

Diagnosis of Tubular Adenoma of the Colon

The diagnosis of tubular adenomas typically involves several steps, including a thorough medical history, physical examination, and diagnostic tests. Some of the most common diagnostic procedures include:

  • Colonoscopy: This is the gold standard for diagnosing and removing colorectal polyps. During a colonoscopy, a flexible tube with a camera is inserted into the colon to visualize the lining and remove any polyps found.
  • Sigmoidoscopy: Similar to a colonoscopy, but it only examines the lower part of the colon and rectum. This procedure is less invasive but may not detect polyps in the upper colon.
  • Virtual Colonoscopy: A non-invasive procedure that uses CT scans to create detailed images of the colon. This method can detect polyps but cannot remove them.
  • Fecal Occult Blood Test (FOBT): This test detects hidden blood in the stool, which can be a sign of polyps or other colorectal issues.

📝 Note: Regular screening for colorectal polyps is recommended for individuals over the age of 50, or earlier for those with a family history of colorectal cancer or polyps.

Treatment Options for Tubular Adenoma of the Colon

The primary treatment for tubular adenomas is the removal of the polyps during a colonoscopy. This procedure is usually performed on an outpatient basis and involves the following steps:

  • Preparation: The patient is given instructions to prepare the colon for the procedure, typically involving a bowel cleansing regimen.
  • Sedation: The patient is sedated to ensure comfort during the procedure.
  • Polyp Removal: The colonoscope is inserted into the colon, and any polyps found are removed using specialized tools. The polyps are then sent to a laboratory for further analysis.
  • Recovery: The patient is monitored for a short period after the procedure and can usually go home the same day.

In some cases, additional treatments may be necessary, especially if the polyps are large or numerous. These treatments can include:

  • Surgery: For large or multiple polyps, surgical removal of a portion of the colon may be required.
  • Chemotherapy or Radiation Therapy: If the polyps are found to be malignant, further treatment with chemotherapy or radiation therapy may be necessary.

📝 Note: Regular follow-up colonoscopies are recommended after the removal of tubular adenomas to monitor for the recurrence of polyps.

Prevention of Tubular Adenoma of the Colon

While there is no guaranteed way to prevent the development of tubular adenomas, several lifestyle changes and preventive measures can significantly reduce the risk. Some of the most effective strategies include:

  • Healthy Diet: Consuming a diet rich in fruits, vegetables, and whole grains can help reduce the risk of colorectal polyps. Limiting red and processed meats is also beneficial.
  • Regular Exercise: Maintaining an active lifestyle can help lower the risk of developing colorectal polyps.
  • Maintain a Healthy Weight: Obesity is a significant risk factor for colorectal polyps, so maintaining a healthy weight is crucial.
  • Avoid Smoking and Limit Alcohol: Smoking and excessive alcohol consumption can increase the risk of colorectal polyps, so it is important to avoid these habits.
  • Regular Screening: Regular colonoscopies and other screening tests can detect and remove polyps before they become cancerous.

Understanding the Stages of Tubular Adenoma of the Colon

Tubular adenomas can progress through several stages, from benign polyps to malignant tumors. Understanding these stages is essential for effective treatment and prevention. The stages of tubular adenomas can be summarized as follows:

Stage Description
Stage 0 Benign polyp with no signs of malignancy.
Stage I Early-stage cancer that is confined to the inner lining of the colon.
Stage II Cancer that has spread to the muscle layer of the colon but not to nearby lymph nodes.
Stage III Cancer that has spread to nearby lymph nodes but not to distant organs.
Stage IV Advanced cancer that has spread to distant organs, such as the liver or lungs.

Early detection and treatment of tubular adenomas can prevent the progression to more advanced stages, significantly improving the chances of a successful outcome.

Living with Tubular Adenoma of the Colon

Living with a diagnosis of tubular adenoma of the colon can be challenging, but with the right support and management, individuals can lead healthy and fulfilling lives. Some tips for managing life with tubular adenomas include:

  • Regular Follow-Up: Regular follow-up appointments with a healthcare provider are essential for monitoring the condition and detecting any recurrence of polyps.
  • Healthy Lifestyle: Maintaining a healthy diet, regular exercise, and avoiding harmful habits can help reduce the risk of recurrence.
  • Support Network: Building a support network of family, friends, and healthcare providers can provide emotional and practical support.
  • Education: Educating oneself about tubular adenomas and colorectal health can empower individuals to make informed decisions about their care.

By taking proactive steps and working closely with healthcare providers, individuals with tubular adenomas can effectively manage their condition and maintain good colon health.

Tubular adenomas of the colon are a common and often benign condition, but they have the potential to develop into colorectal cancer if left untreated. Understanding the causes, symptoms, diagnosis, and treatment options for tubular adenomas is crucial for maintaining colon health and preventing more serious conditions. Regular screening, a healthy lifestyle, and timely medical intervention can significantly reduce the risk of developing tubular adenomas and improve the chances of a successful outcome. By staying informed and proactive, individuals can effectively manage their colon health and lead healthy, fulfilling lives.

Related Terms:

  • should you worry about adenoma
  • tubular adenoma of colon guideline
  • hyperplastic polyp colon
  • tubulovillous adenoma of colon