# Learning

Roof Of Mouth

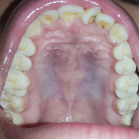
Roof Of Mouth

Exploring the intricacies of the roof of mouth, also known as the palate, reveals a fascinating world of anatomy and function. The roof of mouth plays a crucial role in various physiological processes, including speech, swallowing, and respiration. Understanding its structure and function can provide valuable insights into oral health and overall well-being.

Anatomy of the Roof of Mouth

The roof of mouth is composed of two main parts: the hard palate and the soft palate. The hard palate is the anterior portion, which is bony and covered by a mucous membrane. It provides structural support and is essential for the formation of certain speech sounds. The soft palate, on the other hand, is the posterior, muscular portion that helps in closing off the nasal cavity during swallowing and speech.

Functions of the Roof of Mouth

The roof of mouth serves several critical functions:

  • Speech Production: The roof of mouth is instrumental in the production of various speech sounds. The tongue interacts with different parts of the palate to create consonants and vowels. For example, the alveolar ridge, located at the front of the hard palate, is crucial for producing sounds like "t" and "d."
  • Swallowing: During swallowing, the soft palate elevates to seal off the nasal cavity, preventing food and liquids from entering the nasal passages. This action is essential for safe and efficient swallowing.
  • Respiration: The roof of mouth helps regulate airflow during breathing. The soft palate can adjust its position to control the amount of air passing through the nasal cavity, influencing the quality of the voice and the efficiency of breathing.

Common Issues Affecting the Roof of Mouth

Several conditions can affect the roof of mouth, leading to discomfort, difficulty in speech, and other issues. Some of the most common problems include:

  • Cleft Palate: This congenital condition occurs when the tissues of the palate do not fuse properly during fetal development. It can result in difficulties with feeding, speech, and hearing.
  • Palatal Torsion: This condition involves the twisting of the soft palate, which can cause snoring, sleep apnea, and other respiratory issues.
  • Oral Thrush: This fungal infection can affect the roof of mouth, causing white patches and discomfort. It is often treated with antifungal medications.
  • Palatal Tumors: Benign or malignant tumors can develop on the roof of mouth, requiring medical intervention for diagnosis and treatment.

Diagnosis and Treatment of Roof of Mouth Conditions

Diagnosing conditions affecting the roof of mouth typically involves a combination of physical examination, imaging studies, and sometimes biopsy. Treatment options vary depending on the specific condition:

  • Cleft Palate: Surgical repair is often necessary to correct the cleft and improve function. Speech therapy may also be required to address any speech difficulties.
  • Palatal Torsion: Treatment may involve surgical correction to realign the soft palate and improve breathing.
  • Oral Thrush: Antifungal medications, such as nystatin or fluconazole, are commonly prescribed to treat the infection.
  • Palatal Tumors: Treatment depends on the type and stage of the tumor. Options may include surgery, radiation therapy, or chemotherapy.

📌 Note: Early detection and treatment of conditions affecting the roof of mouth can significantly improve outcomes and quality of life.

Maintaining Oral Health

Maintaining good oral health is essential for the overall well-being of the roof of mouth. Regular dental check-ups, proper oral hygiene, and a balanced diet can help prevent many common issues. Here are some tips for maintaining oral health:

  • Regular Dental Visits: Schedule regular dental check-ups to detect and address any issues early.
  • Oral Hygiene: Brush and floss your teeth regularly to remove plaque and bacteria.
  • Balanced Diet: Consume a diet rich in vitamins and minerals to support oral health.
  • Avoid Tobacco and Alcohol: Limit or avoid tobacco and alcohol, as they can increase the risk of oral health problems.

The Role of the Roof of Mouth in Speech Therapy

Speech therapists often focus on the roof of mouth to help individuals improve their speech clarity and articulation. Various exercises and techniques can be employed to strengthen the muscles of the palate and enhance speech production. Some common exercises include:

  • Tongue Exercises: Exercises that involve moving the tongue against the roof of mouth can help improve articulation and speech clarity.
  • Palatal Lifts: Devices that lift the soft palate can be used to improve speech and swallowing in individuals with palatal dysfunction.
  • Respiratory Exercises: Techniques that focus on controlling airflow and breathing can help improve speech and vocal quality.

📌 Note: Working with a qualified speech therapist can provide personalized exercises and techniques tailored to individual needs.

The Impact of Aging on the Roof of Mouth

As we age, the roof of mouth can undergo changes that affect its function and structure. Some common age-related changes include:

  • Thinning of the Mucous Membrane: The mucous membrane covering the hard palate can become thinner, making it more susceptible to injury and infection.
  • Reduced Muscle Tone: The muscles of the soft palate may lose tone, leading to difficulties with swallowing and speech.
  • Dry Mouth: Age-related dry mouth can affect the roof of mouth, causing discomfort and increasing the risk of oral health problems.

To mitigate these changes, it is important to maintain good oral hygiene, stay hydrated, and consult with healthcare providers for regular check-ups.

Cultural and Linguistic Variations in Roof of Mouth Function

The roof of mouth plays a crucial role in the production of speech sounds, and its function can vary across different languages and cultures. For example, some languages may require more precise articulation against the roof of mouth, while others may rely more on the tongue and lips. Understanding these variations can provide insights into the diversity of human speech and communication.

Here is a table highlighting some linguistic variations in roof of mouth function:

Language Roof of Mouth Function Examples of Sounds
Spanish Precise articulation against the hard palate Trilled "r" sounds
French Use of the soft palate for nasal sounds Nasal vowels
English Variety of sounds produced with the tongue and roof of mouth Alveolar sounds like "t" and "d"

These variations underscore the importance of the roof of mouth in shaping the unique characteristics of different languages.

In conclusion, the roof of mouth is a vital component of the oral cavity, playing essential roles in speech, swallowing, and respiration. Understanding its anatomy, function, and common issues can help individuals maintain good oral health and seek appropriate treatment when necessary. Regular dental check-ups, proper oral hygiene, and a balanced diet are key to preserving the health of the roof of mouth. Additionally, recognizing the cultural and linguistic variations in roof of mouth function can enhance our appreciation of the diversity of human communication.

Related Terms:

  • roof of mouth is called
  • roof of mouth sore
  • roof of mouth swollen
  • roof of mouth itchy
  • roof of mouth feeling rough
  • roof of mouth palate