# Learning

Pellegrini Stieda Lesion

Pellegrini Stieda Lesion

Understanding the intricacies of a Pellegrini Stieda Lesion is crucial for anyone involved in the medical field, particularly those specializing in orthopedics and sports medicine. This condition, though not as commonly discussed as other orthopedic issues, can significantly impact an individual's quality of life and mobility. This blog post aims to provide a comprehensive overview of Pellegrini Stieda Lesion, including its causes, symptoms, diagnosis, treatment options, and preventive measures.

What is a Pellegrini Stieda Lesion?

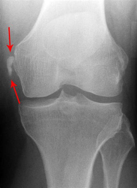
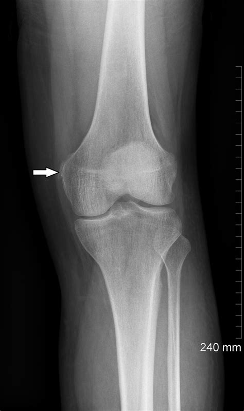
A Pellegrini Stieda Lesion is a rare condition characterized by the calcification of the medial collateral ligament (MCL) of the knee. The MCL is a crucial ligament that provides stability to the inner side of the knee joint. When this ligament becomes calcified, it can lead to pain, stiffness, and reduced range of motion. The condition is named after the Italian surgeon Pellegrini and the German surgeon Stieda, who first described it in the late 19th century.

Causes of Pellegrini Stieda Lesion

The exact cause of a Pellegrini Stieda Lesion is not fully understood, but several factors are believed to contribute to its development:

  • Trauma: A direct injury to the knee, such as a blow or a fall, can damage the MCL and lead to calcification.
  • Overuse: Repetitive stress on the knee, often seen in athletes or individuals with physically demanding jobs, can cause micro-tears in the MCL, leading to calcification over time.
  • Genetic predisposition: Some individuals may have a genetic predisposition to developing calcifications in their ligaments.
  • Metabolic disorders: Conditions such as hyperparathyroidism or hypervitaminosis D can affect calcium metabolism and contribute to ligament calcification.

Symptoms of Pellegrini Stieda Lesion

The symptoms of a Pellegrini Stieda Lesion can vary depending on the severity of the calcification and the individual’s overall health. Common symptoms include:

  • Pain: Persistent pain in the inner part of the knee, which may worsen with activity.
  • Stiffness: Reduced range of motion in the knee joint, making it difficult to bend or straighten the leg.
  • Swelling: Inflammation and swelling around the affected area.
  • Tenderness: Sensitivity to touch or pressure on the inner side of the knee.
  • Instability: A feeling of the knee giving way or buckling during movement.

Diagnosis of Pellegrini Stieda Lesion

Diagnosing a Pellegrini Stieda Lesion involves a combination of physical examination, medical history, and imaging tests. The diagnostic process typically includes the following steps:

  • Medical History: The healthcare provider will ask about the patient’s symptoms, any recent injuries, and any underlying medical conditions.
  • Physical Examination: A thorough examination of the knee, including palpation of the MCL and assessment of range of motion and stability.
  • Imaging Tests: X-rays, ultrasound, or MRI scans to visualize the calcification and assess the extent of the damage.

📝 Note: Imaging tests are crucial for confirming the diagnosis and ruling out other potential causes of knee pain.

Treatment Options for Pellegrini Stieda Lesion

The treatment of a Pellegrini Stieda Lesion depends on the severity of the symptoms and the individual’s overall health. Treatment options range from conservative measures to surgical intervention:

Conservative Treatment

Conservative treatment options are often the first line of defense and may include:

  • Rest: Avoiding activities that exacerbate the pain and allowing the knee to heal.
  • Ice: Applying ice packs to reduce swelling and numb the pain.
  • Compression: Using compression bandages or sleeves to support the knee and reduce swelling.
  • Elevation: Keeping the leg elevated to minimize swelling.
  • Medications: Over-the-counter pain relievers such as ibuprofen or naproxen to manage pain and inflammation.
  • Physical Therapy: Exercises to improve range of motion, strength, and flexibility.

Surgical Treatment

In cases where conservative treatment fails to provide relief, surgical intervention may be necessary. Surgical options include:

  • Arthroscopic Debridement: A minimally invasive procedure to remove the calcified tissue and repair any damaged ligaments.
  • Open Surgery: A more invasive procedure that involves making a larger incision to access and remove the calcified tissue.

📝 Note: Surgery is typically considered a last resort and is only recommended when conservative treatments have failed to provide adequate relief.

Preventive Measures for Pellegrini Stieda Lesion

While it may not be possible to completely prevent a Pellegrini Stieda Lesion, there are several measures that can help reduce the risk of developing this condition:

  • Proper Warm-Up and Cool-Down: Before engaging in physical activities, ensure a thorough warm-up and cool-down to prepare the muscles and ligaments.
  • Strength Training: Incorporate exercises that strengthen the muscles around the knee, providing better support and stability.
  • Proper Technique: Use correct techniques during physical activities to minimize the risk of injury.
  • Adequate Rest: Allow sufficient time for rest and recovery between workouts or physically demanding activities.
  • Nutrition: Maintain a balanced diet to support overall health and bone density.

Prognosis and Recovery

The prognosis for individuals with a Pellegrini Stieda Lesion is generally favorable, especially with early intervention and appropriate treatment. Most patients experience significant improvement in symptoms and regain full range of motion within a few months. However, the recovery process can vary depending on the severity of the condition and the individual’s overall health.

Physical therapy plays a crucial role in the recovery process, helping to restore strength, flexibility, and stability to the knee. Patients are often advised to continue with a maintenance program of exercises to prevent future injuries and maintain knee health.

In some cases, individuals may experience recurrent symptoms or require additional treatment. Regular follow-ups with a healthcare provider can help monitor progress and address any concerns that may arise during the recovery process.

It is important to note that while most patients recover well, some may experience long-term effects such as chronic pain or reduced range of motion. Early diagnosis and appropriate treatment can significantly improve outcomes and minimize the risk of long-term complications.

In summary, a Pellegrini Stieda Lesion is a rare but significant condition that can impact knee function and mobility. Understanding the causes, symptoms, diagnosis, and treatment options is essential for effective management and prevention. With proper care and intervention, most individuals can achieve a full recovery and return to their normal activities.

Related Terms:

  • pellegrini stieda lesion xray
  • pellegrini stieda lesion treatment
  • pellegrini stieda calcification
  • pellegrini stieda disease
  • reverse pellegrini stieda lesion
  • pellegrini stieda radiopaedia